Βλαισός μεγάλος δάκτυλος
- drveves

- 22 Οκτ 2021
- διαβάστηκε 3 λεπτά

Το κότσι είναι μια πάθηση που προκαλείται από την προοδευτική λοξή θέση που παίρνει το μεγάλο δάκτυλο του ποδιού. Όταν υπάρχει για πολύ καιρό και είναι μεγάλου βαθμού τότε συνήθως σπρώχνει το 2ο δάκτυλο που συνήθως πάει κάτω από το 1ο και με την πάροδο του χρόνου δημιουργεί αρθίτιδα στην άρθρωση στην βάση του 2ου δακτύλου και σχηματισμό σφυροδακτυλίας , δηλαδή το 2ο δάκτυλο δεν είναι ίσιο και έχει σχήμα σαν μικρό σφυρί .
Παράγοντες κινδύνου είναι η κληρονομική διάθεση όπου τότε μπορεί να εμφανιστεί και σε μικρή ηλικία , η αυξημένη ηλικία , η μυική αδυναμία και η πλατυποδία , τα στενά παπούτσια και τα ψηλά τακούνια .
Η παθοφυσιολογία αφορά την μυική αδυναμία στον μέσο πόδα , που έχει ώς αποτέλεσμα πολλές φορές να υπάρχει πλατυποδία και πρηνισμός στον άκρο πόδα , το μεγάλο δάκτυλο στρίβει πρός τα έσω και η ανώμαλη φόρτιση στα σησαμοειδή οστά κάτω από αυτό με την πάροδο των ετών το κάνει να γίνεται σιγά σιγά λοξό. Στην αρχή το καταλαβαίνουμε σαν ένα σχηματισμό εξογκώματος (κότσι) που εμφανίζεται στην έσω πλευρά στην βάση του μεγάλου δακτύλου το οποίο με την πάροδο των ετών γίνεται μεγαλύτερο όχι γιατί μεγαλώνει αλλά διότι ο πρόσθιος πόδας φαρδαίνει και απλώνεται περισσότερο με αποτέλεσμα το μεγάλο δάκτυλο γίνεται πιο λοξό και φαίνεται μεγαλύτερο το εξόγκωμα.

Αστάθεια στην ταρσομετατάρσια άρθρωση του μεγάλου δακτύλου είναι μια άλλη αιτία που έχει ώς αποτέλεσμα το 1ο μετατάρσιο να πετάει πρός τα έσω ( ραιβό μετατάρσιο ) ενώ το μεγάλο δάκτυλο να γίνεται λοξό προς τα έξω.
Εκδηλώνεται στα αρχικά στάδια με πόνο , τοπικό ερεθισμό και ερυθρότητα πάνω στο κότσι από τα στενά παπούτσια . Όσο αυξάνεται η λοξότητα του δακτύλου τότε μεταβάλλεται η φόρτιση κάτω από το μεγάλο δάκτυλο στο πέλμα με αποτέλεσμα να υπάρχει πόνος κάτω από το μεγάλο δάκτυλο στα σησαμοειδή οστά , ενώ σε πολύ μεγάλα κότσια το βάρος του σώματος μεταφέρεται στο 2ο μετατάρσιο και δημιουργεί πόνο και κάλο στο πέλμα στην αντίστοιχη περιοχή ( μεταταρσαλγία) .

Η διάγνωση επιβεβαιώνεται με την σωστή κλινική εξέταση και την φόρτιση του γυμνού ποδιού στο πάτωμα στο ιατρείο μαζί πάντα με ακτινογραφία που φέρει ο ασθενής συγκριτική και των δύο ποδιών πάνω στην ίδια ακτινολογική πλάκα με φόρτιση , δηλαδή όρθιος με όλο το βάρος του σώματος. Αυτό διότι χρειάζεται να μετρηθούν οι γωνίες του ποδιού και των μεταταρσίων για να διαπιστωθεί ποιό είναι το αίτιο που οδήγησε στην παραμόρφωση και στο κότσι.
Η συντηρητική αντιμετώπιση στο κότσι είναι κυρίως προληπτική . Αυτό σημαίνει ότι φαρδιά παπούτσια , πάτοι αποφόρτισης και διόρθωσης της πλατυποδίας , νάρθηκες για το μεγάλο δάκτυλο πιθανό να βοηθήσουν στην ύφεση του πόνου , του ερεθισμού και να φρενάρουν στα αρχικά στάδια την εξέλιξη της νόσου αλλά δεν διορθώνουν την παραμόρφωση .
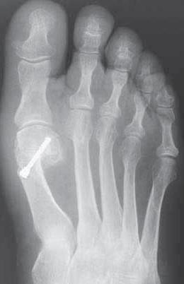
Η θεραπεία σε μετρίου και μεγάλου βαθμού παραμορφώσεις είναι χειρουργική . Αυτό σημαίνει ότι μέσα από μικρές τομές γινεται οστεοτομία στο 1ο μετατάρσιο ακριβώς στο σημείο που χρειάζεται ( στην βάση , διάφυση ή περιφερικά ) αναλόγος με το που υπάρχει τοαίτιο που δημιούργησε το κότσι . Η οστεοτομία σταθεροποιείται με βίδες ή όταν χρειάζεται με ειδική ανατομική πλάκα . Όλο το χειρουργείο είναι αναίμακτο λόγω ίσχαιμου περίδεσης στο πόδι κατά την διάρκεια της επέμβασης . Μπορεί να γίνει με μπλόκ των νεύρων στην οπίσθια επιφάνεια του γόνατος ή στο επίπεδο του αστραγάλου . Συνήθως η επέμβαση γίνεται ώς ημερήσια νοσηλεία ένω σε πιό μεγάλες διορθώσεις ο ασθενής μπορεί να πάρει εξιτήριο την επόμενη μέρα το πρωί .
Η αποθεραπεία είναι περίπου στις 4-6 εβδομάδες όπου ο ασθενής φορτίζει με ειδικό παπούτσι μέχρι να γινει η πλήρης επούλωση .
Η διεθνής βιβλιογραφία περιγράφει πάνω από 100 διαφορετικές επεμβάσεις για την διόρθωση του βλαισού μεγάλου δακτύλου και δεν είναι απλή υπόθεση . Χρειάζεται ένα πολύ καλό εξατομικευμένο προεγχειτητικό πλάνο για να βρεθεί ακριβώς που έγκειται το πρόβλημα , έτσι ώστε το κατάλληλο χειρουργείο να οδηγήσει σε ένα πολύ καλό αποτέλεσμα χωρίς υποτροπή στο μέλλον.






.png)


Σχόλια